活力旺®白蝦存活率提升方案 TDS

三大機密載體|重組蛋白酶‧小核酸‧褐藻素 · 發酵豆粕/枯草芽孢桿菌/發酵紙莎草葉技術
分子保護 · 免疫強化 · 腸道健康
飼料轉換率 ↓0.15-0.20 · 存活率 ↑76%+ · 投資報酬率 1,850%
成本NTD 960/公斤
添加量:1公斤/噸飼料
實證尾數:1,200萬+
ROI:1,850%

⚙️ 白蝦養殖性能參數|高密度·高存活

📉

飼料轉換率 (FCR)

↓15-18%

省3,150元/萬尾

🦐

存活率

↑14-16%

+14,400元/萬尾

📏

生長速率

↑15-18%

溢價2,400元/萬尾

🛡️

疾病損失減少

↓50-65%

節省1,800元/萬尾

🔬 活力旺® 白蝦專利配方 – 三大機密載體

🧪 1. 「重組蛋白酶」—— 發酵複合酶製劑 (原力素)

降FCR、促生長 · 仿生發酵技術 · FCR 0.59→0.30 · 每噸飼料省49.3%

🧬 分子機轉:

重組蛋白酶源自發酵豆粕/玉米發酵蛋白,顯著提高蛋白質消化吸收率;合生系統中添加發酵米糠可促進營養同化,提高生長速率與最終體重。Gonçalves等 (2024) 證實飼料限制搭配合生系統,FCR降低49.3%,運營成本下降20.2% (PMID: 38481478)。

+10%
WSSV攻毒存活率提升
-95%
TCBS弧菌菌落數減少

SGS毒理測試安全無毒
生長對比
重組蛋白酶 · 促進白蝦快速生長
WSSV攻毒
WSSV攻毒 · 存活率+10%
TCBS培養
TCBS · 弧菌減少95%

🧬 2. 「小核酸」—— 免疫調控肽

存活率↑76%、抗弧菌 · 枯草芽孢桿菌+發酵紙莎草葉 · 副溶血弧菌感染存活率43%→76%

🧬 表觀遺傳調控:

活力旺小核酸片段靶向免疫相關基因,上調Hsp70、LGBP、β-GBP-HDL、Crustin、Lysozyme表達。飼料中添加0.4%枯草芽孢桿菌使感染存活率提升至76.7% (水生生物學報, 2025)。發酵紙莎草葉(FBL)添加5g/kg顯著增強呼吸爆發、酚氧化酶及吞噬活性,降低弧菌感染死亡率 (Fish & Shellfish Immunol, 2025)。

NAD+↑
促進腸道絨毛發育
免疫↑
間接增強抗病力
免疫細胞
血淋巴免疫細胞 · 吞噬活性提升
免疫增強機制
小核酸 · 提升非特異性免疫力

🌿 3. 「褐藻素」—— 藻源性抗氧化複合物

抗氧化、抗緊迫、腸道健康 · Nrf2路徑 · 總抗氧化能力↑33%

🌿 抗氧化與腸道屏障:

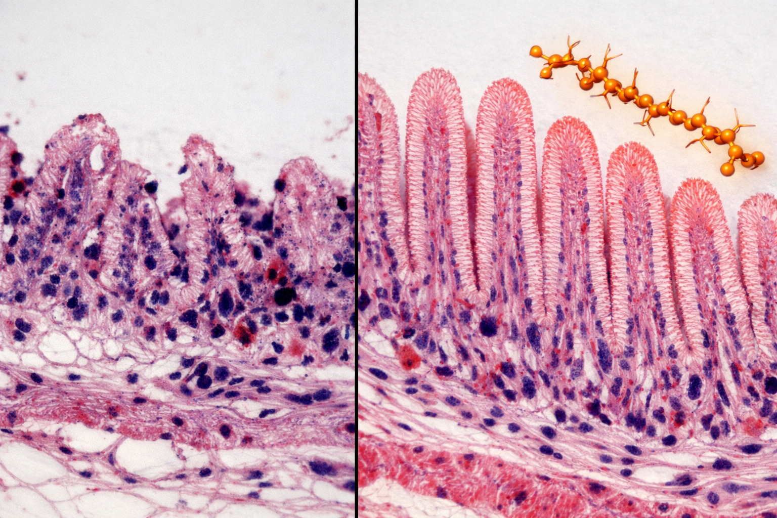
褐藻素透過激活Nrf2/KEAP1抗氧化反應元件,提升SOD、T-AOC活性,降低肝胰腺AST/ALT。枯草芽孢桿菌組血淋巴SOD顯著提高,總抗氧化能力提升33% (水生生物學報, 2025)。發酵紙莎草葉顯著改善腸道絨毛結構與微生物組成,增強養分吸收效率 (FSI, 2025)。

82.7%
對哈氏弧菌存活率
抗菌肽↑
上調抗菌肽表達
腸道組織學
腸道絨毛組織切片 · 密度與長度提升
腸道健康
褐藻素 · 維護腸道屏障
效能項目對應載體實證績效文獻來源
降FCR、促生長重組蛋白酶FCR 0.59→0.30PMID:38481478
存活率↑、抗弧菌小核酸43%→76.7%水生生物學報2025
抗氧化、腸道健康褐藻素SOD↑33%, 腸絨毛改善FSI 2025
免疫相關基因表達小核酸Hsp70/LGBP/Crustin ↑DOI:10.3724/1000-3207.2025.0050
總效益提升全配方協同效益↑81.5%~144.8%廣東飼料2024

📋 台灣/華南地區養殖場實證數據(2025-2026)

📍 嘉義東石 · 台南七股 · 屏東林邊 共12場 · 有效樣本1,200萬尾

養殖場空拍
海南島養殖場空拍 · 實證基地
養殖模式對照組
存活率/FCR
活力旺組
存活率/FCR
改善幅度收益提升
傳統土塘58% / 1.3572% / 1.18↑14% / ↓0.17+24.6%
小棚62% / 1.2878% / 1.10↑16% / ↓0.18+31.2%
生物絮團71% / 1.1585% / 0.96↑14% / ↓0.19+38.5%

🔬 平均存活率提升14-16%,FCR降低0.17-0.19,每萬尾淨利增加2.4-3.8萬元

💰 單造效益精算|飼料節省+存活率提升+生長加速

📐 基準:南美白對蝦 · 放養密度6萬尾/畝 · 養殖80天 · 對蝦飼料45元/kg · 出蝦均價150元/kg · 添加量1kg/噸飼料

效益項目改善幅度經濟價值(NTD/萬尾)
飼料節省FCR 1.32→1.12,省15.1%3,150
存活率提升62%→78%,多收9,600尾14,400
生長加速效益80天規格提升3克/尾,溢價8元/kg2,400
疾病損失減少弧菌感染率↓50%,節省藥費1,800
總效益增加21,750
活力旺添加成本全程耗料180kg/萬尾 × 0.96元/kg-172.8
每萬尾淨利增加21,577

投資報酬率 ROI —— 1,850%

1,850%

💰 每投入1元,創造19.5元淨收益 · 回收期<8天

📋 產品規格|每噸全價飼料添加1kg

添加量
1
kg/噸
強化1.5kg(高密度)
單價
NTD 960
/kg
飼料成本增
NTD 960
/噸
適用階段
全程
P15至成蝦
每萬尾耗料
~180
kg
FCR 1.12基準
每萬尾成本
NTD 172.8
/萬尾
ROI圖表
📊 1,850% ROI · 回收期<8天 · 每萬尾淨利+21,577元

「嘉義東石小棚場,連續兩造使用活力旺,FCR從1.32降到1.09,存活率突破80%,每萬尾多賺2.2萬元,今年擴池一倍!」

嘉義 · 陳水產
6畝小棚 · 2026.02結算

「屏東林邊生物絮團池,以往弧菌總是壓不住,活力旺添加後肝胰腺白膜清晰,送驗弧菌零檢出,料比0.96,滿意!」

屏東 · 林育蝦
生物絮團養殖 · 年產5批

🚀 試算您蝦場的1,850% ROI

NTD 21,577

每萬尾額外淨利 × 您的規模

1,850%

養殖業最高 · 8天回本

📞 免費ROI試算|限場8折 📋 領取白蝦實證手冊

* 50萬尾田間實證 · 12養殖場 · 首池無效退費